


Schedule Your Consultation for Exceptional Dental Care
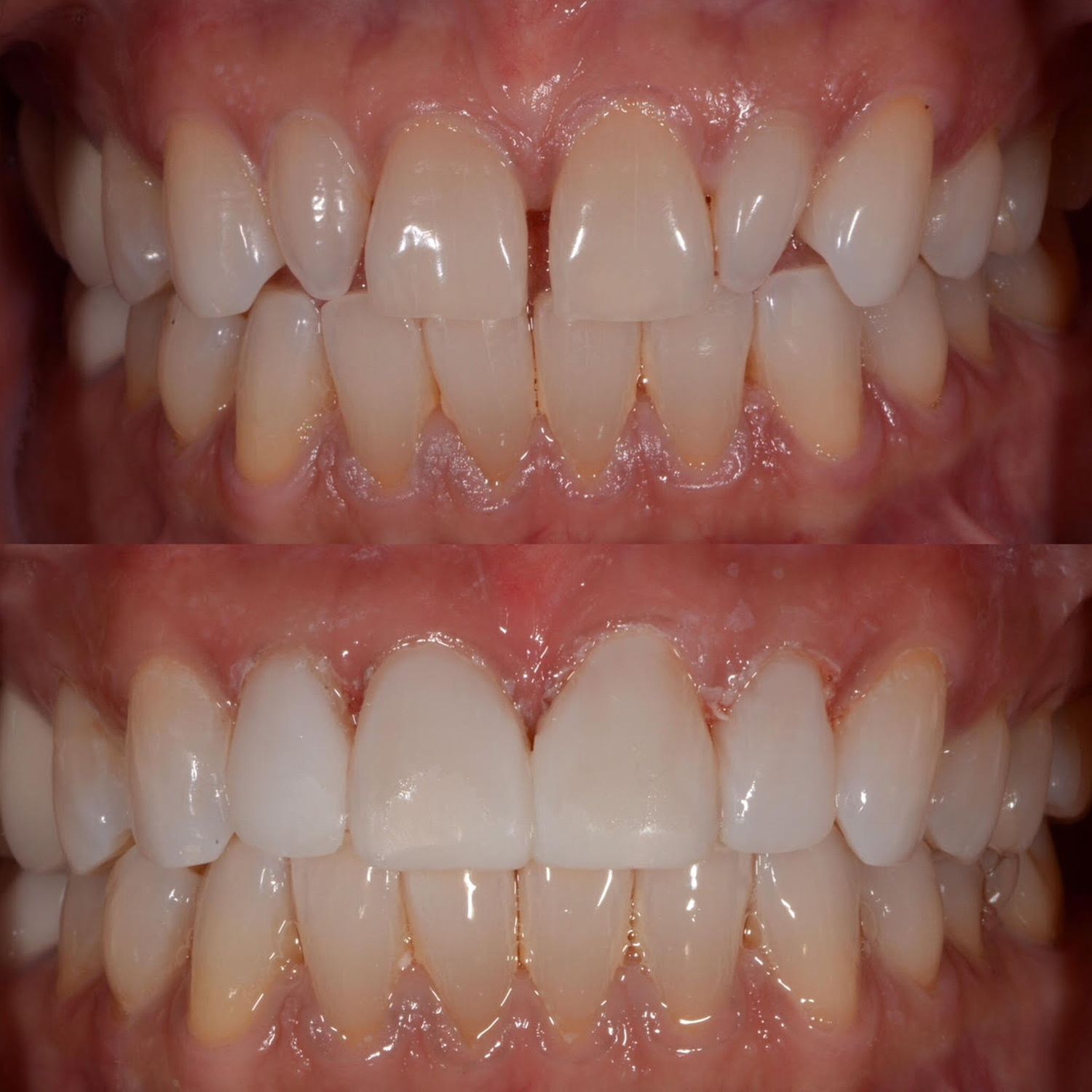
Discover a new level of gentle, compassionate care at Yeo Family Dental Group, your trusted dental provider in Marina Del Rey, Playa Del Rey, Culver City, and Venice. Our highly trained dental team is passionate about delivering exceptional dental services to our valued patients. From the moment you step into our office until the time you leave, our staff is dedicated to ensuring your absolute comfort and peace of mind. With us, every dental visit is designed to be pleasant and worry-free, leaving you with the best possible results.
There was an error processing your form. Please try again later.
We'll get back to you as soon as possible.
(310) 822-8481
Mon: Closed
Tues-Thurs: 9 AM - 5 PM
Fri: 9 AM - 4 PM
Sat: by appointment only
Sitemap | Privacy Policy | Accessibility | Notice of Open Payment Database