

We believe everyone should feel and look their best. At Yeo Family Dental Group, we have helped numerous patients in Playa del Rey, Marina del Rey, Culver City, and Venice achieve a higher level of confidence by offering pristine dental care. Dr. Jamie Yeo, DDS, and Dr. Rosita Tan, DMD, bring meticulous techniques and a gentle touch to your porcelain veneer procedure, ensuring you achieve stunning results that elevate your entire appearance.
Porcelain Veneers at a Glance

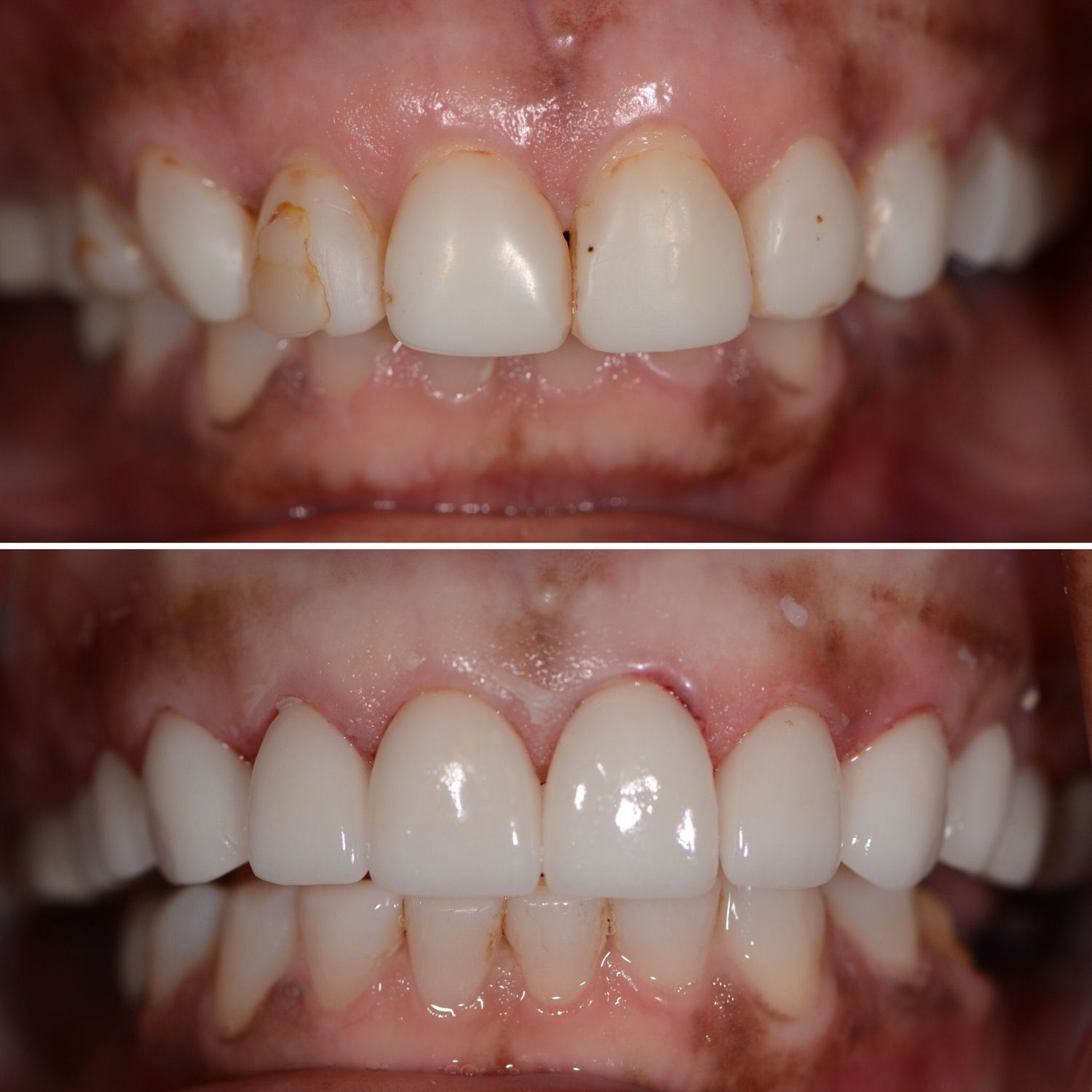
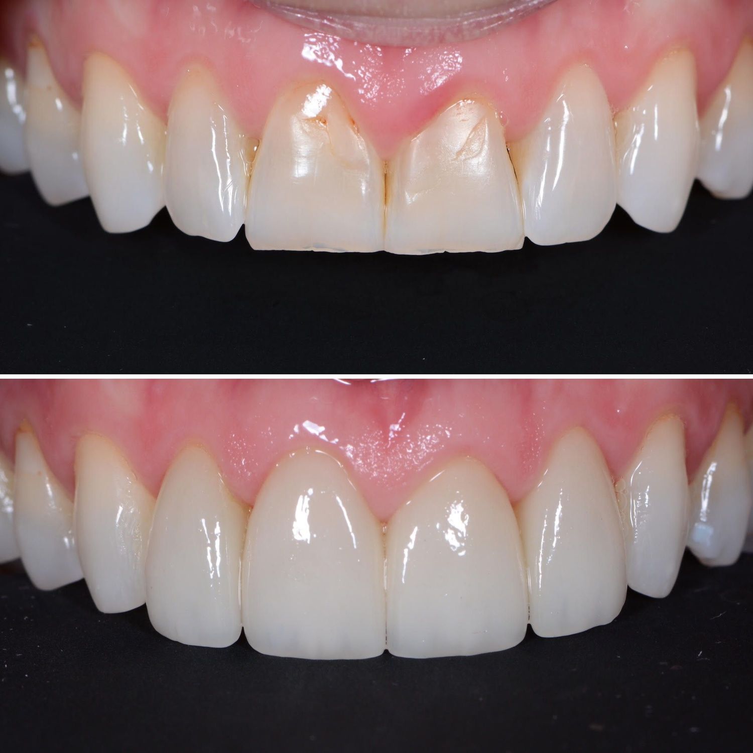
If you are looking for a way to improve your smile, we may recommend porcelain veneers. They fit over the front surface of your teeth in order to improve their appearance and transform your smile. We also offer composite veneers for those who prefer that route. However, porcelain is stronger, longer-lasting, and more aesthetically pleasing.

A successful veneer procedure involves a sequence of carefully coordinated steps:
1 of 24
Dental veneers can fix:

Dr. Jamie and Dr. Tan's approach ensures you receive all these benefits while achieving the smile you've always wanted:

Ideal candidates for porcelain veneers:
We will assess your oral health and discuss your cosmetic goals to determine if porcelain veneers are the best option for you.
Porcelain veneers, unlike composite, are stain-resistant, meaning you will have enhanced long-term protection from discoloration. You treat them as you would natural teeth, including daily brushing and flossing. However, we do advise against nail biting or chewing on hard objects (your teeth are not tools!) to prevent against the possibility of cracking or chipping your veneers. We will provide personalized aftercare instructions to ensure the longevity of your porcelain veneers.


You'll see immediate results as soon as your permanent veneers are placed. Your new smile will be ready to showcase right away. With proper care, porcelain veneers can last 10-15 years or more. Regular dental check-ups with Dr. Jamie or Dr. Tan will help maintain your veneers' appearance and longevity.
We are here to give you that beautiful smile you have always wanted. Contact us today to schedule your free consultation for a dental makeover!
While not permanent, porcelain veneers are a long-lasting solution. They may need replacement after 10-15 years.
Yes, we design your veneers to look incredibly natural, matching the color and light-reflecting properties of your other teeth.
Yes, you can still develop cavities around or under veneers. Good oral hygiene and regular check-ups are essential.
Our dentists carefully design your veneers to maintain or improve your bite. Any minor adjustments can be made during the fitting process.